Trung tâm Kiểm soát bệnh tật tỉnh vừa phát hiện một ca bệnh sốt rét ngoại lai trên địa bàn.

Ngày 27.9, Trung tâm Kiểm soát bệnh tật (CDC) Quảng Bình cho biết, vừa ghi nhận một ca bệnh sốt rét ngoại lai trên địa bàn.
Trước đó, ngày 24.9, bệnh nhân N.V.C (SN 1993, trú tại xã Hưng Trạch, huyện Bố Trạch, tỉnh Quảng Bình) được người nhà đưa đến Bệnh viện Hữu nghị Việt Nam – Cuba Đồng Hới với triệu chứng sốt, rét run, đổ mồ hôi, đau đầu và ho khan.
Nhận tin báo từ bệnh viện về các triệu chứng liên quan đến ca bệnh sốt rét, CDC Quảng Bình đã đến điều tra dịch tễ và làm các xét nghiệm.
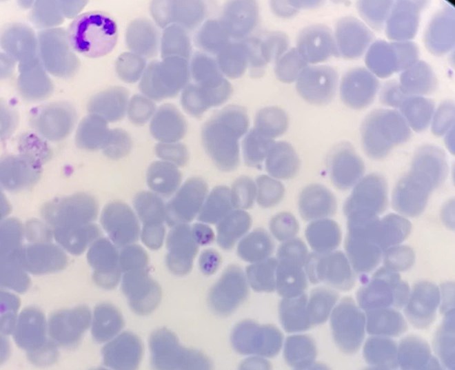
Kết quả xét nghiệm cho thấy bệnh nhân C bị sốt rét. Sau thời gian theo dõi, điều trị, sức khỏe bệnh nhân đang dần ổn định.
Theo người nhà bệnh nhân, trước khi khởi phát bệnh, bệnh nhân có thời gian gần nửa tháng đi rừng tại Thái Lan (từ ngày 17-31.8.2024). Khi về đến nhà, đầu tháng 9 thì các triệu chứng trên xuất hiện.
CDC Quảng Bình đã chỉ đạo Trung tâm Y tế huyện Bố Trạch giám sát các trường hợp tiếp xúc gần với bệnh nhân.
Đặc biệt, các thành viên của hộ gia đình và khu vực xung quanh nhà ở của bệnh nhân trong vòng 30 ngày, kể từ ngày bệnh nhân khởi phát bệnh để chủ động, kịp thời xử lý không để dịch bệnh lây lan trong cộng đồng.
Bác sĩ Huỳnh Công Hùng - Trưởng Khoa khám, điều trị lao, bệnh phổi và phòng, chống bệnh truyền nhiễm, CDC Quảng Bình cho biết, sốt rét là một bệnh truyền nhiễm, do ký sinh trùng Plasmodium gây nên và do muỗi Anophen truyền từ người bệnh (người có ký sinh trùng sốt rét) sang người lành.
Mọi người đều có thể mắc bệnh sốt rét nếu sống hoặc có qua lại vùng rừng núi nơi có sốt rét lưu hành và bị muỗi Anophen đốt. Vì vậy, các cơ sở y tế cũng như người dân cần nâng cao cảnh giác, không lơ là, chủ quan trong phòng, chống bệnh sốt rét.
Nguồn: Báo Lao Động




