Nhiễm ký sinh trùng không chỉ là vấn đề vệ sinh mà còn là nguy cơ gây suy kiệt sức khỏe nghiêm trọng. Từ những con đường lây nhiễm âm thầm qua thực phẩm, đất và thú cưng, ký sinh trùng đang trở thành nỗi lo của nhiều gia đình tại Đà Nẵng nói riêng và Việt Nam nói chung. Để chủ động bảo vệ bản thân, mời bạn tham khảo bài tổng hợp chi tiết về nguyên nhân và cách phòng tránh nhiễm ký sinh trùng chuẩn y khoa từ Bệnh viện 199.
Bệnh ký sinh trùng là gì? Các loại ký sinh trùng phổ biến
Ký sinh trùng là những sinh vật sống bám vào cơ thể sinh vật khác (vật chủ) như con người hoặc động vật. Chúng tồn tại bằng cách hút chất dinh dưỡng, máu hoặc sử dụng các cơ quan nội tạng của vật chủ để sinh trưởng và phát triển. Khi ký sinh trùng xâm nhập vào cơ thể, chúng không chỉ gây hao hụt dinh dưỡng mà còn tiết ra các độc tố gây tổn thương nghiêm trọng cho gan, não, phổi, thận và hệ tiêu hóa.
Các nhóm ký sinh trùng thường gặp tại Việt Nam
Việt Nam ghi nhận sự đa dạng về chủng loại ký sinh trùng, có thể chia thành các nhóm chính:
- Giun truyền qua đất: Giun đũa, giun móc, giun tóc.
- Giun đường ruột: Giun kim, giun lươn.
- Sán lá: Sán lá gan lớn/nhỏ, sán lá phổi, sán lá ruột.
- Ký sinh trùng từ động vật: Sán dây lợn (lợn gạo), sán dây bò, ấu trùng giun đũa chó mèo (Toxocara).
Nguyên nhân gây bệnh ký sinh trùng phổ biến nhất
Tại sao tỷ lệ nhiễm ký sinh trùng tại Việt Nam lại cao? Câu trả lời nằm ở sự kết hợp giữa điều kiện tự nhiên và tập quán sinh hoạt.
Hiểm họa từ thói quen ăn uống (Đường tiêu hóa)
Đây là con đường lây nhiễm ngắn nhất và phổ biến nhất. Việc tiêu thụ thực phẩm chưa được nấu chín kỹ chứa đựng rủi ro cực lớn:
- Thực phẩm tái sống: Tiết canh, gỏi cá sống, bò tái, nem chua.
- Rau sống thủy sinh: Các loại rau như rau nhút, ngó sen, rau cần trồng dưới nước thường mang theo ấu trùng sán lá gan.
- Nguồn nước: Uống nước lã trực tiếp từ vòi hoặc sông suối chưa qua xử lý đun sôi.
Lây nhiễm qua tiếp xúc trực tiếp (Đường da)
Ấu trùng của một số loại ký sinh trùng như giun móc, giun lươn có khả năng xuyên qua lớp da mỏng (thường là kẽ ngón chân, bàn chân) khi con người đi chân đất hoặc làm việc tiếp xúc với đất ẩm ô nhiễm.
Sự lây truyền từ thú cưng sang người
Thú cưng (chó, mèo) là nguồn phát tán trứng giun đũa (Toxocara) qua phân. Nếu chủ nuôi không vệ sinh tay sạch sẽ sau khi vuốt ve thú cưng hoặc dọn dẹp chất thải, ấu trùng sẽ dễ dàng xâm nhập vào cơ thể.
Tập quán canh tác và vệ sinh cá nhân
- Sử dụng phân tươi: Việc dùng phân động vật chưa ủ kỹ để bón rau màu làm phát tán trứng giun sán ra môi trường.
- Vệ sinh kém: Thói quen không rửa tay bằng xà phòng trước khi ăn và sau khi đi vệ sinh tạo điều kiện cho chu trình tự nhiễm (đặc biệt là giun kim).
Tác hại nguy hiểm của bệnh ký sinh trùng đối với sức khỏe
Đừng lầm tưởng ký sinh trùng chỉ gây đau bụng nhẹ. Những "kẻ xâm lược" này có thể gây ra những tổn thương vĩnh viễn:
Suy kiệt dinh dưỡng và thiếu máu
Ký sinh trùng hút máu và chiếm đoạt các vi chất thiết yếu (Protein, Vitamin, Sắt). Điều này dẫn đến tình trạng suy dinh dưỡng, thấp còi ở trẻ em và thiếu máu mạn tính ở người lớn, gây mệt mỏi, kém tập trung.
Tấn công các cơ quan nội tạng quan trọng
- Gan: Sán lá gan gây tắc mật, áp xe gan, xơ gan.
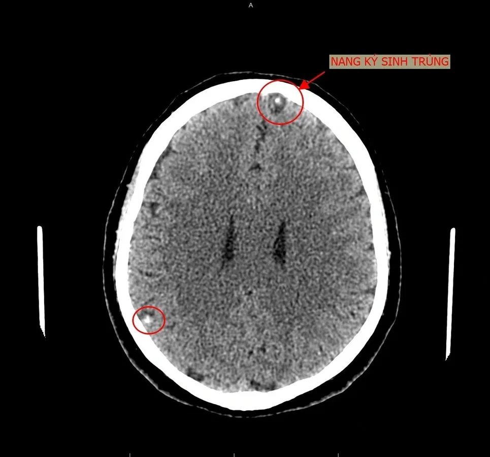
- Não: Ấu trùng sán lợn hoặc giun đũa chó mèo có thể di cư lên não, tạo thành các nang sán gây co giật, liệt nửa người hoặc mù lòa.
- Phổi: Gây ho ra máu, đau ngực, dễ bị nhầm lẫn với bệnh lao.
Các biến chứng cấp cứu
Nếu số lượng ký sinh trùng quá lớn, người bệnh có thể gặp tình trạng tắc ruột, giun chui ống mật hoặc viêm tụy cấp, đòi hỏi phải can thiệp phẫu thuật khẩn cấp.

Cách phòng tránh nhiễm bệnh ký sinh trùng hiệu quả
Thực hiện "Ăn chín - Uống sôi"
- Chỉ tiêu thụ thực phẩm đã nấu chín hoàn toàn.
- Tuân thủ 10 nguyên tắc vàng trong chế biến thực phẩm của Bộ Y tế.
- Tách biệt dụng cụ (dao, thớt) cho thực phẩm sống và chín.
Vệ sinh cá nhân và môi trường sống
- Rửa tay với xà phòng vào các thời điểm quan trọng: trước khi ăn, sau khi đi vệ sinh, sau khi tiếp xúc đất/thú cưng.
- Cắt móng tay sạch sẽ, không đi chân đất.
- Vệ sinh, khử trùng đồ chơi của trẻ nhỏ thường xuyên.
Tẩy giun định kỳ
- Thực hiện tẩy giun 6 tháng/lần cho cả gia đình.
- Lưu ý: Trẻ em trên 1 tuổi mới bắt đầu tẩy giun. Phụ nữ mang thai cần tham khảo ý kiến bác sĩ (thường tránh 3 tháng đầu).
Quản lý thú cưng khoa học
- Tẩy giun sán định kỳ cho chó, mèo.
- Hạn chế để trẻ em ngủ chung hoặc để thú cưng liếm lên mặt.

Khi nào cần đến gặp bác sĩ?
Nhiều loại ký sinh trùng có thể tồn tại trong cơ thể nhiều năm mà không gây ra triệu chứng rầm rộ. Tuy nhiên, nếu bạn hoặc người thân xuất hiện các dấu hiệu dưới đây, hãy đến ngay cơ sở y tế để được thăm khám:
Các triệu chứng nhận biết sớm
- Rối loạn tiêu hóa kéo dài: Đau bụng âm ỉ vùng quanh rốn, đầy hơi, khó tiêu, tiêu chảy hoặc táo bón bất thường.
- Ngứa hậu môn: Đặc biệt là vào ban đêm hoặc sáng sớm (dấu hiệu điển hình của giun kim).
- Dấu hiệu ngoài da: Nổi mề đay, phát ban, ngứa ngáy không rõ nguyên nhân hoặc có cảm giác "giun bò" dưới da.
- Thay đổi thể trạng: Sụt cân nhanh chóng dù ăn uống bình thường, cơ thể luôn trong trạng thái mệt mỏi, uể oải, da xanh xao do thiếu máu.
- Triệu chứng thần kinh: Đau đầu dữ dội, co giật hoặc mờ mắt (cảnh báo nguy cơ sán tấn công não hoặc mắt).
Tầm quan trọng của xét nghiệm định kỳ
Xét nghiệm máu và phân tại cơ sở y tế chuyên khoa giúp phát hiện bệnh ở giai đoạn sớm, khi ký sinh trùng chưa kịp gây hại cho nội tạng. Việc điều trị sớm giúp tiết kiệm chi phí và ngăn ngừa biến chứng tử vong.
Tổng kết
Bệnh ký sinh trùng tuy phổ biến và dễ lây nhiễm trong điều kiện khí hậu Việt Nam, nhưng hoàn toàn có thể kiểm soát nếu chúng ta có đủ kiến thức và ý thức phòng ngừa. Việc duy trì thói quen ăn chín, uống sôi, vệ sinh cá nhân sạch sẽ và thực hiện tẩy giun định kỳ là những hành động thiết thực nhất để bảo vệ sức khỏe của chính bạn và những người thân yêu. Nếu bạn đang có những dấu hiệu nghi ngờ hoặc đơn giản muốn kiểm tra sức khỏe định kỳ, hãy liên hệ với đội ngũ chuyên gia tại Bệnh viện 199 để được tư vấn và thực hiện các xét nghiệm ký sinh trùng chính xác nhất.
BỆNH VIỆN 199
Địa chỉ: 216 Nguyễn Công Trứ - An Hải - Đà Nẵng
Hotline: 1900 98 68 68
Website: https://benhvien199.vn




